Tjedan otvorenih vrata Esthetic Ortho Aligner 16.3.2026. – 20.03.2026.

POGODNOSTI: Besplatan prvi pregled i vizualizacija 20% popusta na terapiju

Svijet ortodoncije se značajno promijenio posljednjih godina, a jedna od najuzbudljivijih inovacija je nevidljiv aparatić za zube. U današnje vrijeme, estetika igra značajnu ulogu u našem životu, a savršen osmijeh nije samo simbol ljepote već i zdravlja.

Sve više ljudi se odlučuje za ortodontske tretmane kako bi ispravili nepravilnosti zuba. Za razliku od tradicionalnih fiksnih aparatića, Prozirni aparatić nudi estetski prihvatljiviju opciju koja omogućava ravnanje zuba bez potrebe za metalnim žicama i bravicama.

nevidljivic aparatic

Kako bismo u potpunosti udovoljili zahtjevima i potrebama naših pacijenata, odlučili smo kreirati vlastiti brend aparatića – Esthetic Ortho Aligner. Ovaj korak nam omogućava bolju kontrolu nad procesom izrade i osigurava vrhunsku kvalitetu, čime možemo brzo reagirati na eventualne izazove u bilo kojoj fazi terapije. Kvaliteta je naš prioritet, stoga su naši aparatići izrađeni od premium folija koje jamče precizne pomake zuba uz svaku udlagu.

Dragi ljubitelji lijepog osmijeha, S velikim zadovoljstvom vas pozivamo na posebne dane otvorenih vrata posvećene Esthetic Ortho Aligner-u, od 10. do 14. veljače. ortho-aligner-prozirni-aparatic

Dragi ljubitelji lijepog osmijeha

S velikim zadovoljstvom vas pozivamo na posebne dane otvorenih vrata posvećene Esthetic Ortho Aligner-u, od 16. do 20. ožujka.

Ovaj događaj pruža savršenu priliku za sve one koji žele saznati više o prozirnim aparatićima i kako vam mogu pomoći da postignete savršen osmijeh koji ste oduvijek željeli.

Što možete očekivati:

  1. Individualne konzultacije s našim stručnjacima: Naši doktori bit će vam na raspolaganju za besplatne individualne konzultacije. Ovdje ćete moći saznati sve što vas zanima o Esthetic Ortho Aligner-u, uključujući proces liječenja, očekivane rezultate i trajanje terapije.

  2. Praktične demonstracije: Pridružite nam se na interaktivnim prezentacijama gdje ćemo demonstrirati kako naši prozirni aparatići funkcioniraju. Imat ćete priliku vidjeti stvarne primjere i rezultate naših zadovoljnih pacijenata.

  1. Posebne pogodnosti: Za sve posjetitelje dana otvorenih vrata nudimo posebne popuste i pogodnosti na naše esthetic ortho alignere. Iskoristite ovu jedinstvenu priliku da započnete svoje putovanje prema savršenom osmijehu po povoljnijim uvjetima. Naručite se na besplatan pregled i vizualizaciju te iskoristite 20% popusta na terapiju alignerima.

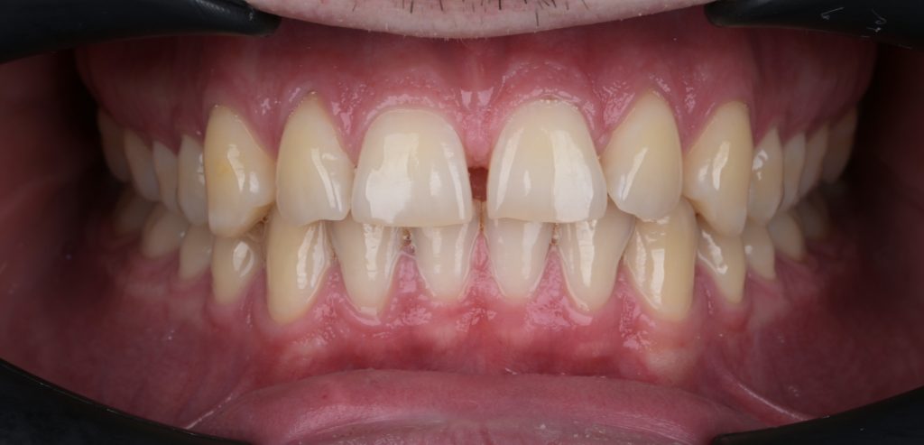
ESTHETIC ORTHO ALIGNER PRIJE I POSLIJE

Zašto Esthetic Ortho Aligneri? 

Naši prozirni aparatići su inovativno rješenje za ispravljanje zubi. Izrađeni su od visokokvalitetnog, gotovo nevidljivog materijala koji vam omogućuje da zadržite samopouzdanje tijekom cijelog tretmana. Esthetic ortho aligneri su udobni za nošenje, lako se uklanjaju i čiste, te omogućuju brže i efikasnije rezultate u usporedbi s tradicionalnim metalnim aparatićima.

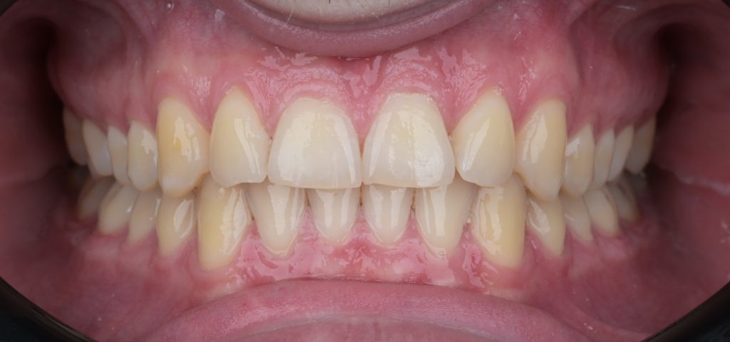
ESTHETIC ORTHO ALIGNER PRIJE I POSLIJE

Cjenik

Naziv
Cijena
Esthetic Ortho Aligner – Basic
1.000 €
Esthetic Ortho Aligner – Simple
1.850€
Esthetic Ortho Aligner – Lite
2.100 €
Esthetic Ortho Aligner – Comprehens
2.950 €

Gdje i kada?

 

Datum: 16.3.2025. – 20.3.2025.

Vrijeme: 08:00-20:00

Lokacija: Esthetic Dental Center

Ulica Hermana Bužana 18

 

Rezervirajte svoj termin već danas i zakoračite u svijet bezbrižnog osmijeha! Za više informacija i rezervacije, kontaktirajte nas na

+385 1 557 38 39
+385 91 222 55 73

Vidimo se na danima otvorenih vrata!

esthetic-denthal-center-esthetic-ortho-aligner-prozirni-aparatic-za-zube

Sviđa vam se ono što vidite? Podijelite ovo sa svojim prijateljima i poznanicima!

Facebook
Twitter
LinkedIn
WhatsApp

Pošaljite nam upit

Besplatne online konzultacije s našim doktorima